Main page
→
Clinical use of "Lyoplast-S" ® in various fields of dentistry
Clinical use of "Lyoplast-S" ® in various fields of dentistry
Clinical use of "Lyoplast-S" ® in various fields of dentistry
Dental implantation in conjunction with bone grafting (sinus lifting, NTR, splitting)
-
Removal of teeth and roots, alveolar plastics, NTR, together with implantation No. 1
19 july 2016, Goldstein Ilya Igorevich, Nosova Maria Aleksandrovna, St. Petersburg
The use of a mixture of spongy mineralized powder with autologous for targeted tissue regeneration in the peri- and meso-implant zone
Read more
-
Comparison of allo-and xeno-materials for bone grafting with implantation No. 1
19 july 2016, Goldstein Ilya Igorevich, Nosova Maria Aleksandrovna, St. Petersburg
Comparison of the use of a mixture of spongy mineralized powder and autocapacity with a mixture of xenomaterial and autococcus in sinus lifting with implantation
Read more
-
Alveolar cleavage, NTR Lioplast Mix-MAX with TMO (dura mater), with implantation №1
9 january 2018, Maria Alexandrovna Nosova, Saint-Petersburg
Alveolar plastics splitting in the area of the 46th, 47th and 48th teeth. One-step implantation, plastic defects Lioplast Mix-MAX and plastic gums with TMT
Read more
-
Removal of teeth and roots, alveolar plastics, NTR, together with implantation No. 4
15 january 2018, Maria Alexandrovna Nosova, Saint-Petersburg
Removal of the 11th and 21st teeth. Single-stage implantation, plastic of the vestibular defect Lyoplast Mix-MAX and plastic of the gum with TMO (dura mater) of the 21st tooth
Read more
-
Removal of teeth and roots, alveolar plastics, NTR, together with implantation No. 5
14 september 2018
Read more
-
Gum plastics in the area of FDM with autograft No. 1
14 september 2018
Read more
-
Cleavage of the alveolar NTR Lioplast Mix-Max c PDF
14 september 2018
Read more
-
Removal of teeth and roots, alveolar plastics, NTR, together with implantation No. 5
14 september 2018
Read more
Completion of inclusive defects after cystectomy and apex resection
-
Removal of odontogenic cyst of the nasal cavity (cystectomy) with TMO (dura mater) No. 1
19 july 2016, Unknown author, Samara State Medical University, St. Petersburg
Plastic surgery of an extensive defect after cystectomy of an odontogenic cyst of the nasal cavity with a mixture of spongy mineralized powder, DM powder, and autococci with TMT
Read more
-
Effect of osteoplastic materials on bone regeneration after cystectomy
19 july 2016, V. Kapishnikov, А. J. Rozenbaum, V. P. Tlustenko,..., Samara
Evaluation of the effect of osteoplastics on bone tissue regeneration after cystectomy with simultaneous resection of the apex of the tooth using 3D-CT
Read more
-
Removal of an odontogenic cyst with resection of the apexes of the roots of the teeth and plastic repair of defect No. 1
8 january 2018, Maria Alexandrovna Nosova, Saint-Petersburg
Cystectomy of the odontogenic cyst of the 12th, 13th and 14th teeth, Three-dimensional plasty of defects Lioplast Mix-MAX with TMO (dura mater). Root resection. Soft tissue plastics
Read more
-
Removal of an odontogenic cyst with resection of the apexes of the roots of the teeth and plastic repair of defect No. 2
1 january 2018, Maria Alexandrovna Nosova, Saint-Petersburg
Cystectomy of the odontogenic cysts of the 31st and 41st teeth, Three-dimensional plasty of defects of Lioplast Mix-MAX with TMO (dura mater). Root resection. Soft tissue plastics
Read more
-
Removal of odontogenic cyst, plastic of alveolar Lioplast Mix-Max №1
14 september 2018
Read more
Surgical treatment of multiple gum recessions in the area of teeth 1, 2 and 3 classes
-
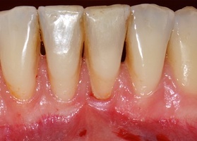
Surgical treatment of multiple gingival recessions with dura mater No. 0
24 july 2016, Maria Alexandrovna Nosova, Saint-Petersburg
Surgical treatment of multiple recession of the gums of the 1st and 2nd class according to Miller using a two-layer dura mater technique in the area of 13 and 12 teeth
Read more
-
Surgical treatment of multiple gingival recessions with dura mater No. 1
24 july 2018, Maria Alexandrovna Nosova, Saint-Petersburg
Surgical treatment of multiple recession of the gums of the 1st and 2nd class according to Miller using a double-layer method with dura mater in the area of 21-22-23-24 teeth
Read more
-
Surgical treatment of multiple gingival recessions with dura mater No. 2
24 july 2016, Maria Alexandrovna Nosova, Saint-Petersburg
Surgical treatment of multiple recession of the gums of the 2nd and 3rd class according to Miller using a two-layer dura mater technique in the area of 41-42-43 teeth
Read more
-
Surgical treatment of multiple gingival recessions with dura mater No. 3
23 july 2016, Maria Alexandrovna Nosova, St. Petersburg
Surgical treatment of multiple recession of the gums of the 2nd and 3rd class according to Miller using a two-layer dura mater technique in the area of 22-23-24 teeth
Read more
-
Surgical treatment of multiple gingival recessions with dura mater No. 4
23 july 2016, Maria Alexandrovna Nosova, Saint-Petersburg
Surgical treatment of multiple recession of the gums of the 1st, 2nd and 3rd class according to Miller's two-layer method with dura mater in the area of 11-16 teeth
Read more
-
Surgical treatment of multiple gingival recessions with dura mater No. 5
23 july 2016, Maria Alexandrovna Nosova, Saint-Petersburg
Surgical treatment of multiple recession of the gums of the 1st, 2nd and 3rd class according to Miller using a double-layer method with dura mater in the area of 43-45 teeth
Read more
-
Surgical treatment of multiple gingival recessions with TMO (dura mater) No. 6
23 july 2016, Maria Alexandrovna Nosova, Saint-Petersburg
Surgical treatment of multiple recession of the gums of the 1st and 2nd class according to Miller using a double-layer dura mater technique in the area of 13-16 teeth
Read more
-
Surgical treatment of multiple gingival recessions with dura mater No. 7
23 july 2016, Maria Alexandrovna Nosova, Saint-Petersburg
Surgical treatment of multiple recession of the gums of the 1st and 2nd class according to Miller using a two-layer dura mater technique in the area of 12-13 teeth
Read more
-
Surgical treatment of multiple gingival recessions with dura mater No. 8
7 january 2018, Maria Alexandrovna Nosova, Saint-Petersburg
Surgical treatment of multiple recession of the gums of class 2 and 3 according to Miller using a double-layer dura mater 43-44-45-46 membrane technique
Read more
-
Surgical treatment of multiple gingival recessions with dura mater No. 9
8 january 2018, Maria Alexandrovna Nosova, Saint-Petersburg
Surgical treatment of multiple gingival recessions with dura mater No. 9
Read more
-
Surgical treatment of multiple gingival recessions with dura mater No. 10
8 august 2018, Maria Alexandrovna Nosova, Saint-Petersburg
Surgical treatment of multiple recession of the gums of the 2nd and 3rd classes according to Miller using a two-layer dura mater 13-14-15-16 teeth technique
Read more
-
Surgical treatment of multiple gingival recessions with dura mater No. 11
9 january 2018, Maria Alexandrovna Nosova, Saint-Petersburg
Surgical treatment of a single gum recession of 2-3 class according to Miller using the 23-tooth TMU (dura mater) two-layer method with a TMO membrane. Complication - relapse
Read more
-
Surgical treatment of a single gum recession using single-layer technique No. 1
7 january 2018, Maria Alexandrovna Nosova, Saint-Petersburg
Surgical treatment of a single recession of the gum of the 3rd class according to Miller in the area of the 23rd tooth. Lateral movement. Coronal movement
Read more
-
Surgical treatment of multiple gingival recessions with dura mater No. 12
2 january 2018, Nosova Maria Alexandrovna, Saint-Petersburg
Surgical treatment of multiple recession of the gums of the 2nd and 3rd classes according to Miller using a two-layer dura mater 13-14-15-16 teeth technique
Read more
-
Surgical treatment of multiple gingival recessions with No. 1 transplant
3 january 2018, Maria Alexandrovna Nosova, , Saint-Petersburg
Surgical treatment of multiple recessions of the 2nd and 3rd class Miller's gums in the area of 24-25-26 teeth with a two-layer technique with autograft
Read more
-
Surgical treatment of multiple gingival recessions with TMO (dura mater) No. 13
5 january 2018, Maria Alexandrovna Nosova, Saint-Petersburg
Surgical treatment of multiple recession of the gum 1-2 classes according to Miller using a double-layer method with TMO (dura mater) of the 23rd and 24th tooth. Complication - relapse
Read more
-
Surgical treatment of multiple gingival recessions with No. 2 transplant
7 january 2018, Maria Alexandrovna Nosova, Saint-Petersburg
Surgical treatment of multiple recessions of the 1st and 2nd class gums according to Miller in the field of 31-41-42 teeth by a two-layer technique with autograft
Read more
-
Surgical treatment of multiple gingival recessions with dura mater No. 14
1 august 2018, Maria Alexandrovna Nosova, Saint-Petersburg
Surgical treatment of multiple recession of the gums of the 1st, 2nd and 3rd class according to Miller using a double-layer method with dura mater in the area of 43-45 teeth
Read more
-
Surgical treatment of multiple gingival recessions with dura mater No. 15
2 august 2018, Maria Alexandrovna Nosova, Saint-Petersburg
Surgical treatment of multiple recession of the gums of the 1st and 2nd class according to Miller using a two-layer dura mater technique in the area of 21-23 teeth
Read more
-
Surgical treatment of multiple gingival recessions with dura mater No. 16
8 august 2018, Maria Alexandrovna Nosova, St. Petersburg
Surgical treatment of multiple recession of the gums 2 and 3 of the class according to Miller using a two-layer technique with a TMO (dura mater) 43-44-45-46 tooth membrane
Read more
-
Surgical treatment of multiple gingival recession with TMO (dura mater) No. 17
8 august 2018, Maria Alexandrovna Nosova, Saint-Petersburg
Surgical treatment of multiple recession of the gums of the 2nd and 3rd classes according to Miller using the double-layer method with the TMO (dura mater) 42-41-31-32 tooth membrane
Read more
-
Surgical treatment of multiple gingival recessions with dura mater No. 12
14 september 2018
Read more
-
Surgical treatment of multiple gingival recessions with TMO (dura mater) No. 13
14 september 2018
Read more
-
Surgical treatment of multiple gingival recessions with No. 3 transplant
14 september 2018
Read more
-
Surgical treatment of multiple gingival recessions with No. 4 transplant
14 september 2018
Read more
-
Surgical treatment of multiple gingival recessions with No. 5 transplant
14 september 2018
Read more
-
Surgical treatment of multiple gingival recessions with dura mater No. 19
14 september 2018
Read more
-
Surgical treatment of a single gum recession using single-layer technique No. 2
14 september 2018
Read more
-
Surgical treatment of multiple gingival recession with No. 6 transplant
16 september 2018
Read more
-
Treatment of multiple gingival recession with graft No. 7, vestibuloplasty
16 september 2018
Read more
-
Surgical treatment of multiple gingival recession with dura mater No. 20
16 september 2018
Read more
-
Surgical treatment of multiple recession of the gums with TMO (dura mater) №21
23 september 2018, Maria Alexandrovna Nosova, Saint-Petersburg
Surgical treatment of multiple recession of the gums of the 1st, 2nd and 3rd class according to Miller using a two-layer method with dura mater in the area of 11-16 teeth.
Read more
Bone grafting in patients with generalized periodontitis (NTR) and periimplantitis
-
NTR with TMO (dura mater) in the area of teeth with chronic periodontitis
24 july 2016, Maria Alexandrovna Nosova, Saint-Petersburg
Targeted tissue regeneration in the periodontal defect in a patient with chronic generalized periodontitis with osteogenesis inducers
Read more
-
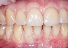
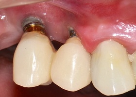
Periimplantitis treatment. Plastic defect Lyoplast Mix-MAX with TMO (dura mater) No. 1
10 january 2018, Maria Alexandrovna Nosova, Saint-Petersburg
Surgical treatment of periimplantitis of the 12th tooth with circular atrophy by more than 50%. Relapse profilation, defect plasty, gingival plasty
Read more
-
Periimplantitis treatment. Plastic defect Lioplast Mix-MAX with TMO (dura mater) No. 2
4 january 2018, Maria Alexandrovna Nosova, Saint-Petersburg
Surgical treatment of the 22th periimplantitis of the 22nd tooth with vestibular atrophy by more than 50%. Relapse profilation, defect plasty, gingival plasty
Read more
-
Periimplantitis treatment. Plastic defect Lioplast Mix-MAX with TMO (dura mater) No. 3
14 september 2018
Read more
-
Thickening of the gum biotype with autotransplant №1
14 september 2018
Read more
Elimination of gingival recession under the orthopedic construction on teeth or implants
Removal of retained and dystopic teeth, preservation of the holes of extracted teeth
Individual RBB implants